Erid: 2Vfnxy5BEPa ООО «ГК СМ-Клиника» ИНН 7743846660
Раковые клетки
Главная | О нас | Статьи | Раковые клетки

Раковые клетки

21.10.2025

задать вопрос

Нормальные клетки организма развиваются, выполняют свои функции и умирают. Деление раковых клеток происходит быстро и бесконтрольно. Они не созревают до конца, не отмирают, а распространяются по организму. Со временем такие патологические клетки образовывают раковые опухоли.

Как образуются и чем питаются раковые клетки?

Причин, по которой появляются измененные клетки, несколько:

  • Генетические нарушения. Они могут быть спонтанными или возникают под влиянием внешних и внутренних факторов.
  • Нарушение жизненного цикла. Получив сигнал, поврежденная клетка умирает. Так происходит не всегда. Неконтролируемое деление измененных клеток запускает онкологическое заболевание.
  • Сбой при устранении дефектных клеток. Гены, отвечающие за сигналы, перестают выполнять свою функцию, вызывая бурный рост патологических клеток.
  • Снижение функций иммунной системы.

Для развития раковым клеткам требуется строительный материал. Обмен веществ у такой клетки нарушен, ей нужно больше энергии для быстрого роста. Этот процесс обеспечивают следующие вещества:

  • Глюкоза. Раковые клетки расщепляют ее без участия кислорода, получая другие продукты для строения.
  • Аминокислоты. Ежедневная потребность онкологического больного в белках увеличивается. Недостаток его в рационе приводит к расщеплению мышечной ткани. Этим объясняется резкая потеря веса при некоторых видах рака.
  • Жиры. Необходимы для построения клеточной мембраны и хранения энергии. Отдельные виды опухолей производят недостающие жиры самостоятельно.

Раковые клетки могут возникать даже в неблагоприятных для них условиях. На фоне недостатка кислорода и питательных веществ появляются новые сосуды, а отмершие клетки могут быть использованы как источник питания. Для роста раковым клеткам нужны те же компоненты, что и обычным. Добывают питание они более агрессивно, показывая активный рост в любых условиях.

Строение раковой клетки

Особенности строения раковой клетки обеспечивают её высокую выживаемость.

Морфологические отличия раковых клеток от обычных:

  • Ядро большое, неправильной формы. Наблюдаются хромосомные нарушения, что способствует хаотичному делению.
  • Цитоплазма неоднородна по структуре. В ней много рибосом и ферментов, необходимых для переработки глюкозы.
  • Измененная клеточная мембрана. Помогает клетке становиться незаметной для иммунной системы, легче образовывать очаги в лимфатических узлах и других органах.
  • Изменена внутренняя структура клетки (цитоскелет). Это придаёт ей неправильную форму, способствует инвазии.

Раковая клетка по составу не отличается от обычной. Но соотношение ее частей и сама структура нарушены. Эти особенности делают ее устойчивой к любым воздействиям.

Этапы развития

Развитие рака — это постепенный процесс, который начинается с накопления генетических мутаций. Он может занимать месяцы, годы и десятилетия. Врачи-онкологи выделяют основные этапы развития:

  • Инициация. На этом этапе происходит первичное повреждение ДНК. Его вызывают внешнее воздействие, вирусные инфекции, мутации в ДНК. Клетка ведет себя обычно, но возникшая ошибка способна вызвать рак.
  • Рост (промоция). Раковая клетка начинает делиться. Происходит накопление мутаций. Появляется доброкачественная опухоль, клетки которой пока не проникают в соседние ткани. На этом этапе опухоль может обнаружить аппарат МРТ.
  • Прогрессия. Скопление клеток приобретает свойства злокачественного образования: бесконтрольное деление, изменение обмена веществ, проникновение в соседние ткани.
  • Метастазирование. Раковые клетки отрываются от очага, проникают в кровь, лимфатические сосуды, создавая метастазы в других органах.

Такой многоступенчатый процесс сложно отследить на начальном этапе. Это делает заболевание системным и наиболее опасным.

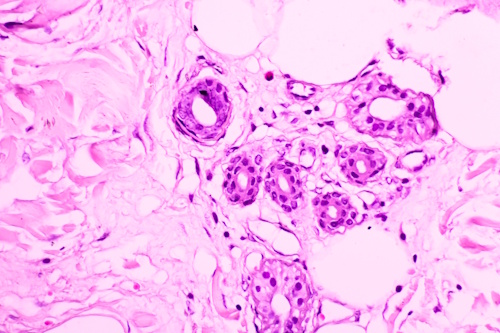
Как выглядят раковые клетки под микроскопом?

Раковые клетки под микроскопомЕсли раковую клетку рассмотреть под микроскопом, можно заметить ее неправильную форму. Визуализируется аномально крупное ядро, содержащее много ДНК. Здоровые клетки, взятые из одного участка ткани, похожи между собой. Клетки злокачественных опухолей отличаются друг от друга.

Бесконтрольное деление приводит к тому, что клетки располагаются более хаотично. Им легко проникнуть в соседние органы через кровеносную систему.

Виды онкогенов

Онкогенами называют типы генов, которые могут спровоцировать появление рака.

Виды онкогенов:

  1. Вирусные. Вирусная инфекция может стать пусковым механизмом для последующей транс­формации клетки в злокачественную. Это происходит из-за нарушения регуляции жизненного цикла клетки. Примером таких вирусов являются ВПЧ, герпесовирус 8 типа, ВЭБ, Т-лимфотропный вирус.
  2. Клеточные. Расти и развиваться клетке помогают протоонкогены, отвечающие за рост и деление. В результате произошедшей мутации они преобразуются в гены, вызывающие развитие рака. Для запуска онкологического заболевания (например, рака молочной железы), должны измениться несколько генов, а не один.
  3. Гены-супрессоры. Их задача состоит в том, чтобы сдерживать деление клеток. Также они запускают апоптоз, то есть программу естественной смерти клетки. Когда ген мутирует или клетка его утрачивает, начинается активное деление, что приводит к появлению злокачественных опухолей. Наглядно это можно рассмотреть на примере супрессора опухолей TP53. При его повреждении клетки не восстанавливаются и не умирают. Они продолжают делиться, накапливая мутации, которые приводят к необратимым изменениям. Появление этой поломки обнаруживают примерно в половине всех диагностируемых раковых опухолей.
  4. Гены апоптоза. Каждая клетка в организме имеет свой срок жизни. Процесс ее гибели называется апоптоз. Регулируют его два типа генов: провокаторы и защитники. Первые запускают уничтожение, а вторые тормозят этот процесс, если клетка еще может принести пользу. В обоих случаях сбой в работе генов приводит к высокому риску появления опухоли.

Вопросы и ответы

Есть ли раковые клетки у здорового человека?

Появление новых клеток — процесс непрерывный. Среди них могут быть опухолевые клетки. Иммунная система распознает их и ликвидирует.

Что происходит с раковыми клетками после смерти человека?

С наступлением биологической смерти раковые клетки продолжают существовать какое-то время. Это связано с их устойчивостью к кислородному голоданию.

Чем отличается раковая клетка от обычной?

Раковые клетки не подчиняются сигналам организма. Они быстро делятся, не отмирают, могут подавлять иммунитет, стимулируют появление кровеносных сосудов. Также они способны прорастать в здоровые клетки организма.

Источники

  1. А. Г. Денисенко. Некоторые показатели Т-клеточного иммунитета в различные промежутки после наступления смерти. 2010.
  2. В. А. Куликов, Л. Е. Беляева. Метаболизм раковой клетки как терапевтическая мишень. 2016.
  3. И. В. Высоцкая, М. А. Шабанов. Актуальные вопросы канцерогенеза. 2019.
  4. Д. В. Залетаева. Системы генетических и эпигенетических маркеров в диагностике онкологических заболеваний. 2009.
  5. В. В. Родионов, И. С. Панченко. Молекулярно-генетические предикторы прогрессирования рака молочной железы. 2025.
  6. А. А. Майборода. Гены и белки онкогенеза. 2013.
На сайте используются cookies с целью повышения удобства пользования сайтом и доступности персонализированных сервисов.
Для получения дополнительной информации вы можете ознакомиться с нашей Политикой использования cookies и Политикой в отношении обработки персональных данных.
Настройки cookies могут быть изменены в параметрах вашего браузера.
О нас
Врачи
Записаться
Услуги
Контакты