- О заболевании
- Классификация карцином
- Стадии
- Симптомы
- Причины
- Диагностика карциномы
- Методы лечения
- Возможные осложнения
- Прогнозы
- Профилактика карциномы
- Вопрос-ответ
О заболевании
Карцинома — это злокачественное новообразование, возникающее из эпителиальной ткани. Эти клетки выстилают слизистые оболочки, покрывают внутренние органы, создают барьер на поверхности кожи, поэтому опухоль может появиться почти в любой части тела. Раковые клетки в отличие от нормальных начинают бесконтрольно делиться, нарушая работу органов и тканей. Карциномы встречаются чаще всего среди онкологических заболеваний и включают в себя множество вариантов (поражения молочной железы, шейки матки, опухоли мочевого пузыря, слюнных желез или щитовидной железы). Особенность заболевания в том, что оно долго развивается скрыто, и только врач-онколог может распознать начальную стадию с помощью современных методов исследования.
Классификация карцином
Карциномы делят на несколько групп, чтобы точнее описать особенности опухоли и подобрать методы лечения. Классификация учитывает внешний вид клеток, их поведение, степень злокачественности и то, в каком органе возникло новообразование. Такой подход помогает предсказать развитие процесса и составить корректный план терапии.
По типу опухолевых клеток
Разные клетки эпителия по-разному реагируют на повреждения, поэтому и опухоли выглядят неодинаково. Врач оценивает строение тканей под микроскопом и определяет, к какому варианту относится процесс.
Основные типы:
- Плоскоклеточная карцинома — появляется из плоского эпителия, который покрывает кожу и различные слизистые поверхности, включая шейку матки и пищевод.
- Базальноклеточная карцинома — формируется в нижних слоях кожи и относится к разновидностям рака, который крайне редко распространяется на отдаленные зоны.
- Аденокарцинома — патологический рост начинается в клетках, отвечающих за выделение секрета. Такой вариант чаще всего выявляется в молочной железе, простате, желудке и легочной ткани.
- Переходно-клеточная — чаще всего развивается в органах мочеполового тракта.
- Нейроэндокринная — развивается из клеток, способных синтезировать биологически активные вещества, регулирующие работу органов (APUD-система).
По степени злокачественности
Эта характеристика показывает, насколько сильно опухолевые клетки отклонились от нормальной структуры, и как интенсивно они способны увеличивать свою популяцию.
Градация включает:
- Низкая степень — клетки во многом похожи на нормальные, но приобретают черты патологического (атипичного) роста.
- Средняя степень — изменения становятся более выраженными, рост ускоряется.
- Высокая степень — клеточные структуры сильно искажены, деление идет быстро, риск распространения высокий.
- Недифференцированная опухоль — максимально агрессивный тип, при котором клетки полностью утрачивают исходные признаки и очень быстро делятся.
По локализации
Эпителий покрывает множество органов и наружных поверхностей, злокачественный процесс может возникнуть практически в любой зоне тела. Чаще всего диагностируют:
- образования в молочной железе;
- опухоли шейки матки;
- новообразования простаты;
- поражения щитовидной железы;
- опухоли мочевого пузыря;
- карциномы желудка, кишечника и дыхательной системы;
- процессы в слюнных железах;
- рак, возникающий на поверхности кожи.
Стадии
Развитие карциномы условно разделяют на четыре стадии — по мере того как опухоль углубляется в ткани и начинает распространять свои клетки за пределы первичного очага.
Основные стадии карциномы:
- 1-я стадия. Изменения ограничены эпителием: клетки уже начали патологически делиться, но базальная пластинка (тонкий барьер между эпителием и глубжележащими тканями) не нарушена. На этом этапе процесс местный и не затрагивает соседние структуры.
- 2-я стадия. Патология преодолевает базальную пластинку и внедряется в следующий слой тканей, однако пока еще нет признаков поражения регионарных лимфатических узлов.
- 3-я стадия. Происходит вовлечение ближайших лимфатических узлов. Это сигнал, что опухолевые клетки начали перемещаться по лимфатическим путям и поселяться в соседних узлах.
- 4-я стадия. Формируются отдаленные очаги — метастазы в других органах (например, в легких, печени, костях или головном мозге), что свидетельствует о системном распространении болезни.
Для каждой анатомической локализации имеется детализированная шкала по системе TNM, которая учитывает размер первичного очага (T), состояние лимфатических узлов (N) и наличие отдаленных очагов (M), — это помогает точнее описать стадию и подобрать тактику лечения.
Симптомы
Проявления карциномы зависят от того, в каком органе начался процесс, насколько он глубоко проник и затронул ли соседние структуры. На ранних стадиях признаки обычно размытые, похожие на последствия перегрузки, инфекции или стрессовых ситуаций. Поэтому многие люди долго не связывают изменения со злокачественным новообразованием. Врач-онколог делает акцент на том, что начало онкопроцесса чаще всего обнаруживается не по жалобам, а с помощью методов дополнительной диагностики — анализов, визуализирующих исследований или осмотра.
Тревожные признаки, которые должны насторожить:
- необъяснимая слабость, которая не исчезает после отдыха;
- снижение массы тела без попыток похудеть;
- стойкие нарушения аппетита, изменение вкусовых ощущений;
- периодическое повышение температуры без признаков инфекции;
- изменения на коже: незаживающие ранки, плотные участки, язвочки, участки шелушения;
- необычные выделения из естественных отверстий, особенно с прожилками крови;
- уплотнения или узлы в области молочной железы, щитовидной железы или других зон, где ткани обычно мягкие и однородные;
- стойкая боль или дискомфорт в области внутренних органов;
- трудности при мочеиспускании, изменение цвета или запаха мочи (важно при опухолях мочевого пузыря);
- кашель длительностью больше месяца, появление одышки;
- нарушения глотания, чувство комка в горле, необычные ощущения при приеме пищи;
- изменения голоса, осиплость без простуды;
- увеличение лимфатических узлов в любой области тела.
В зависимости от локализации опухоли могут присутствовать органотропные симптомы:
- При раке кожи могут появляться новые родинки или изменяться старые, формируются плотные участки, которые не болят, но постепенно увеличиваются.
- При опухолях пищеварительной системы возможны тошнота, нарушения стула, тяжесть после еды, снижение переносимости привычных продуктов.
- При поражении предстательной железы появляются проблемы с мочеиспусканием, слабая струя, ночные позывы, дискомфорт внизу живота.
- При карциномах женской репродуктивной системы нередко отмечаются нарушения цикла, необычные кровянистые выделения или боли при интимной близости.
Важно помнить: большинство этих проявлений встречаются при десятках неродственных заболеваний. Но если изменения длятся больше двух–трех недель, лучше пройти комплексное обследование с консультацией врача.
Записаться на прием
Причины
Формирование карциномы связано с постепенным накоплением повреждений в эпителии. На клетки влияют факторы внешней среды, особенности обмена веществ, состояние иммунной защиты и наследственные механизмы.
Факторы, которые повышают вероятность развития карцином:
- длительное воздействие канцерогенов (дым, химические пары, промышленные соединения);
- хронические воспалительные процессы на слизистых оболочках;
- травматизация кожи или внутренних органов;
- сниженная способность иммунитета распознавать поврежденные клетки;
- гормональные колебания, влияющие на эпителий груди, щитовидной железы, половых органов;
- наследственные мутации, увеличивающие риск некоторых форм карцином;
- влияние вирусов, например вирус папилломы человека, который участвует в развитии рака шейки матки;
- возрастные изменения, ведущие к накоплению ошибок в делении клеток.
Выделяются также специфические причины, которые характерны для опухолей определенных локализаций:
- мочевой пузырь – хроническое воспаление, курение, длительный контакт с промышленными растворителями;
- желудок – длительный гастрит, бактерия Helicobacter pylori, нарушения питания, дефицит свежих овощей;
- молочная железа – гормональный дисбаланс, поздняя беременность, отсутствие грудного вскармливания, наследственные особенности;
- щитовидная железа – радиационное воздействие, йододефицит, семейные формы заболевания;
- предстательная железа – возраст, наследственность, особенности гормонального обмена.
- органы дыхания – курение, вредности на производстве, постоянное раздражение слизистых;
- кожа – инсоляция, светлый фототип, склонность к ожогам;
- слюнные железы – длительная травматизация, облучение головы и шеи, аутоиммунные процессы.
Каждый из этих факторов способен изменить структуру эпителия, ослабляя контроль над делением клеток. Накопление таких изменений со временем приводит к тому, что клетка перестает подчиняться нормальным биологическим сигналам и превращается в опухолевую.
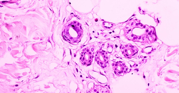
Диагностика карциномы
.jpg)
Ранняя диагностика дает шанс обнаружить злокачественное новообразование в тот момент, когда изменения еще ограничены эпителиальной тканью. На этом этапе предстоящее вмешательство минимально, а прогноз — наиболее благоприятный. Поэтому так важны профилактические осмотры у специалиста, даже если ничего не беспокоит.
Обследование начинается с базовых методов, которые помогают оценить общее состояние организма.
- Лабораторные исследования крови. Изучают уровень гемоглобина, показатели воспалительной активности и биохимический профиль. Отклонения от нормы могут указывать на скрытый рост патологических клеток.
- Прием врача-онколога. Врач внимательно осматривает кожу и слизистые, проверяет состояние лимфатических узлов, расспрашивает о симптомах и их динамике, сопоставляя данные с возможными признаками опухоли.
- Ультразвуковая диагностика. Эхография позволяет заметить изменения структуры органов, плотности тканей, появление узлов или очагов, требующих уточнения.
Визуализирующие исследования обычно назначаются для детализации изменений, выявленных на первом этапе:
- Компьютерная томография. Позволяет получить послойное изображение органов грудной клетки, живота и малого таза и детализировать патологические процессы.
- Магнитно-резонансная томография. Особенно информативна при оценке мягкотканных структур, головного мозга, органов малого таза и щитовидной железы, позволяя рассмотреть мелкие детали и при этом не подвергать организм лучевой нагрузке.
- Маммография. Основной способ раннего обнаружения изменений в молочной железе у женщин, способный выявлять очаги еще до появления выраженных симптомов.
- Эндоскопические процедуры. Гастроскопия, колоноскопия, бронхоскопия позволяют оценить строение слизистых оболочек изнутри.
Дополнительно используются онкомаркеры — вещества, концентрация которых может увеличиваться при опухолях некоторых органов:
- РЭА — может повышаться при опухолях кишечника и легких;
- CA-125 — характерен для новообразований яичников;
- PSA — используется для оценки состояния предстательной железы;
- тиреоглобулин — помогает при наблюдении опухолей щитовидной железы.
Ни один из маркеров сам по себе не ставит диагноз, но помогает врачу определить направление поиска и контролировать эффективность лечения.
Для окончательного подтверждения необходима морфологическая проверка. С этой целью выполняется биопсия – забор фрагмента ткани с последующим исследованием под микроскопом. Морфолог описывает степень злокачественности и тип опухоли — например, базальноклеточная карцинома, плоскоклеточная карцинома и др.
Методы лечения
Выбор лечебной тактики зависит от стадии развития, локализации и степени злокачественности опухоли. Главной целью остается полное удаление раковых клеток и предотвращение их дальнейшего роста. Стандартные методы лечения применяются как отдельно, так и в сочетании, что позволяет максимально эффективно воздействовать на новообразование.
Хирургическое лечение — основа большинства схем. Операция предполагает удаление опухоли с захватом окружающих тканей, а при необходимости — ближайших лимфатических узлов. Такой подход снижает вероятность рецидива. В ряде случаев совместно удаляются соседние органы, если опухоль проросла глубоко. При далеко зашедшем процессе операция возможна не всегда — иногда вмешательство может быть опасно или малоэффективно. Тогда назначают поддерживающую терапию, направленную на сдерживание роста.
Лучевая терапия применяется при карциномах головы и шеи, раке кожи, опухолях шейки матки, отдельных новообразованиях молочной железы и предстательной железы. Излучение разрушает ДНК опухолевых клеток, блокируя их способность делиться. Метод может использоваться до операции для уменьшения размеров образования или после (чтобы уничтожить оставшиеся микроскопические очаги).
Химиотерапия назначается при агрессивных формах, высоком риске распространения или вовлечении лимфатических узлов. Препараты системного действия подавляют деление клеток по всему организму.
- Неоадъювантная химиотерапия проводится до операции: она уменьшает опухоль, облегчая хирургическое вмешательство.
- Адъювантная химиотерапия назначается после удаления новообразования для снижения риска возврата болезни.
Для конкретных локализаций существуют свои алгоритмы:
- опухоли щитовидной железы нередко требуют комбинированного подхода с радиоактивным йодом;
- рак мочевого пузыря может лечиться внутрипузырными методами;
- карциномы молочной железы учитывают гормональный статус и биологический подтип;
- опухоли слюнных желез нуждаются в индивидуальном подборе тактики.
Комплексное лечение позволяет действовать сразу в нескольких направлениях – уничтожать первичный очаг, контролировать микрометастазы и предотвращать новое развитие опухолевых колоний.
Возможные осложнения
Осложнения зависят от стадии, расположения и темпов роста новообразования. По мере увеличения опухоль начинает сдавливать соседние структуры, нарушая их работу.
Основные осложнения:
- кровотечения из разрушенной опухолью ткани;
- инфицирование и воспаление;
- нарушение работы органов из-за их сдавления или прорастания;
- закупорка протоков и полых органов — кишечника, дыхательных путей, мочевыводящих путей;
- выраженная боль при сдавлении нервных стволов;
- нарушение обмена веществ при длительном опухолевом росте;
- распространение метастазов в жизненно важные органы;
- рецидив онкопроцесса.
Прогнозы

Оценка прогноза всегда зависит от стадии, на которой удалось выявить процесс. На ранних стадиях вероятность полного выздоровления значительно выше, поскольку рак ограничен эпителием и не затронул местные защитные барьеры и лимфатические узлы. По мере распространения опухоли в глубину тканей и появления метастазов прогноз ухудшается. Но современные методы лечения во многих случаях позволяют контролировать заболевание годами.
Профилактика карциномы
Предотвратить онкопроцесс полностью невозможно, но можно значительно снизить вероятность его появления. Профилактика включает контроль образа жизни и своевременное лечение предраковых состояний. Особенно важно регулярно проходить исследования, если в семье были случаи онкологических заболеваний или имеются хронические воспалительные процессы.
Основные меры:
- отказ от курения и минимизация контакта с канцерогенами;
- поддержание нормального веса и рациональное питание;
- лечение хронических воспалений слизистых оболочек;
- вакцинация против вируса папилломы человека;
- регулярная проверка молочной железы и органов малого таза;
- контроль щитовидной железы и биохимических показателей;
- прохождение скринингов по возрасту: маммография, колоноскопия, УЗИ;
- своевременное обращение к врачу при длительных симптомах;
- избегание чрезмерной инсоляции и защита кожи.
Вопрос-ответ
Как распознать карциному на ранней стадии?
Ранние симптомы не отличаются специфичностью: слабость, уплотнение в ткани, необычные выделения. Более детальный ответ помогают получить анализы крови и мочи, визуализирующие методы.
Всегда ли карцинома требует операции?
При ограниченных стадиях хирургия — основной способ лечения. Но при распространенных формах на первом этапе может быть проведена лучевая и/или лекарственная терапия. По мере стабилизации процесса решается вопрос о хирургическом лечении.
Можно ли предупредить развитие карциномы?
Полностью исключить риск нельзя, но отказ от вредных привычек, вакцинация от папилломавируса и регулярные исследования значительно снижают вероятность заболевания.
Источники
- Российское общество клинической онкологии. Клинические рекомендации по опухолям головы и шеи. 2023.
- Российское общество клинической онкологии. Рак предстательной железы: клинические рекомендации. 2024.
- Ассоциация онкологов России. Рак щитовидной железы: клинические рекомендации. 2018.